Fratura do Úmero

Fratura do Úmero

Fratura do Úmero: Um Guia Explicativo para uma Recuperação Eficiente

O que é uma Fratura do Úmero?

O úmero é suscetível a fraturas por diversos motivos, desde traumas de alto impacto, como acidentes de trânsito, até quedas simples para aqueles com ossos enfraquecidos. Identificar corretamente a Lesão do Úmero é o primeiro passo para o tratamento.

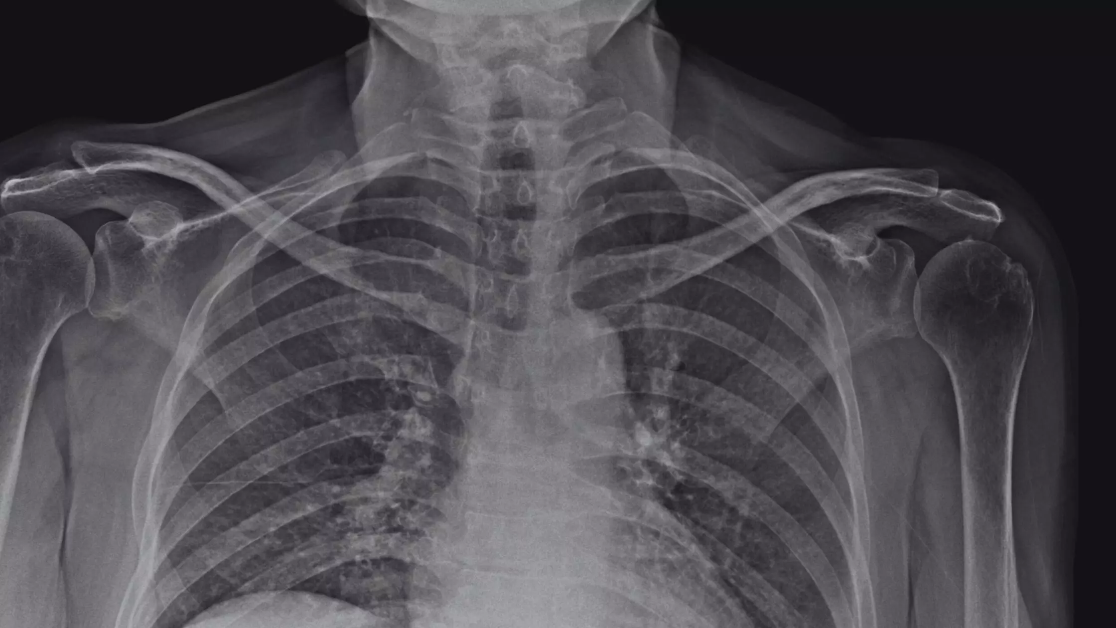
Sintomas e Diagnóstico

Você pode suspeitar de uma fratura se sentir Dor no Braço, inchaço ou incapacidade de mover o cotovelo ou ombro. O Diagnóstico de Fratura geralmente é confirmado com raios-X ou, em alguns casos, com uma tomografia computadorizada.

Abordagens de Tratamento

As opções de Tratamento do Úmero variam de imobilização com talas ou gesso até a Cirurgia do Braço, dependendo da localização e da gravidade da fratura. A cirurgia pode envolver a colocação de placas, parafusos ou hastes intramedulares.

A Recuperação Começa

Após a fase inicial de tratamento, a Recuperação do Braço começa com a Reabilitação do Úmero. A Fisioterapia do Úmero é vital para restaurar a função e minimizar a dor, começando com exercícios de amplitude de movimento e avançando para fortalecimento.

Manutenção da Saúde Óssea

A Saúde Óssea é um aspecto que não deve ser negligenciado, especialmente após uma fratura. A nutrição adequada e a suplementação, se necessária, podem ajudar a evitar futuras fraturas.

Este guia é apenas o começo da sua jornada de recuperação. Lembre-se, cada passo que você dá com o apoio da equipe médica o leva mais perto de retomar suas atividades normais. Se tiver dúvidas ou preocupações, por favor, entre em contato. Estamos aqui para ajudá-lo a cada passo do caminho.

Gostou do Conteúdo do Post?

Compartilhe!